2023年4月18日,万象城娱乐awc线路马文福教授作为通讯作者,在Acta Pharmaceutica Sinica B(APSB)上在线发表了题为“SARS-CoV-2 spike host cell surface exposure promoted by a COPI sorting inhibitor”的研究论文,我院20级博士研究生李轶群,讲师杨明锐博士和21级博士研究生南亚楠为共同第一作者,万象城娱乐awc线路为第一单位。
【文章简介】
21世纪以来三种新型冠状病毒,SARS-CoV、MERS-CoV和SARS-CoV-2感染人类并导致大流行,尤其是SARS-CoV-2及变异毒株反复流行,造成了严重的卫生、经济及社会危害。为了有效应对可能再次出现的新病毒或变异毒株,应持续研发广谱性的冠状病毒防治策略。目前防治SARS-CoV-2最为有效的疫苗及抗体均使用刺突蛋白(spike, S)作为抗原,从而诱导或直接产生免疫应答发挥清除病毒及感染细胞的功能。其中,翻译后转运至细胞表面的S蛋白,不仅是mRNA疫苗诱导的B细胞激活的抗原识别信号,还是抗体发挥Fc效应器功能清除感染细胞的先决条件。但是,冠状病毒感染细胞后,S蛋白主要定位于内质网-高尔基中间体(endoplasmic reticulum Golgi intermedia compartment, ERGIC)及顺面高尔基体(cis-Golgi)以参与子代病毒组装。既然S蛋白的细胞内定位特点与膜表面分布促进免疫识别之间存在矛盾,能否调控S蛋白在细胞内的转运过程改变其定位,以促进S抗原的细胞表面提呈及抗体和疫苗介导的免疫效应?
文章基于冠状病毒S蛋白结合COPI的结构特征,设计了一种能够进入细胞的低毒性COPI新型分选抑制多肽,证实了其具有促进SARS-CoV-2 S蛋白细胞膜表面转运能力,并显著增强了靶向S蛋白抗体依赖性细胞介导的细胞毒效应(ADCC)。
通过解析冠状病毒S蛋白内三种分选信号KxHxx(SARS-CoV-2)、KxxHxx(HCoV-OC43)及Hxx(MHV)基序与COPI囊泡的β’-COP亚基复合物晶体结构,确定了冠状病毒S蛋白与COPI间的保守相互作用模式,并与经典COPI分选信号KKxx和KxKxx进行了比较发现,SARS-CoV-2的KxHxx基序与β-propeller结构域相互作用方式与KxKxx非常相似(图1)。通过体外分子互作技术发现,冠状病毒S蛋白与COPI以较弱的亲和力进行相互作用,SARS-CoV-2的S蛋白滞留信号与COPI的解离常数高达1mM。较弱的相互作用特征适合作为靶点寻找潜在的分子抑制剂,获得的结构信息为设计与开发以COPI为靶点的广谱抗冠状病毒药物提供了基础。

图1. 多种冠状病毒S蛋白分选信号与COPI复合物晶体结构和识别特征
团队以包含经典Kxkxx基序的多肽为模板,设计了融合穿膜序列的TAT-WDM多肽,测试其与COPI的解离常数为1.8 μM,体外竞争实验发现多肽能显著抑制S蛋白与COPI的结合,且具有较好的细胞进入能力和极低的细胞毒性。TAT-WDM作用于S蛋白稳定表达的细胞系,激光共聚焦显微镜下观察膜表面S蛋白的荧光强度明显升高(图2A);流式细胞术检测到双荧光染色的细胞群数量显著增多,达9%左右(图2B);通过生物素特异性亲和凝胶富集膜表面生物素标记蛋白,免疫印迹检测富集到的生物素化S蛋白水平提高了1.5倍(图2C-D)。TAT-WDM还能促进S蛋白结合受体ACE2诱导的合胞体形成(图2E-K)。值得注意的是,在构建的体外ADCC实验系统中,TAT-WDM作为COPI的分选抑制剂显著的增强了靶向S蛋白的REGN10987抗体介导的人NK细胞对靶细胞的杀伤效应,且存在剂量依赖性。

图2. COPI分选抑制多肽TAT-WDM促进S蛋白表面提呈,增强了合胞体形成及抗体介导的ADCC效应
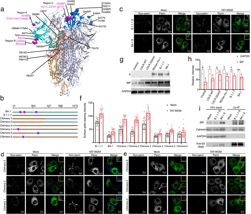
而后,团队以TAT-WDM为研究工具,对SARS-CoV-2 Omicron突变株致病性改变的机制进行了探究。以Alpha突变株B.1.1.7为对照,发现Omicron BA.1毒株的S蛋白更强细胞内滞留能力。序列分析发现有32个突变位于Omicron BA.1 S蛋白的luminal区域,依次将BA.1的32个突变位点引入B.1.1.7的S蛋白,已构建一系列嵌合表达载体并使用TAT-WDM处理,发现2个位于N端结构域和1个位于受体结合区域的突变区域导致BA.1毒株S蛋白更强的内质网滞留(图3A-F)。而BIP及Calnexin(ER应激标志物)的检测反映了关键突变位点导致S蛋白折叠缺陷影响胞内转运(图3G-I),可能是Omicron S蛋白胞内滞留及致病性改变的原因。

图3. 以TAT-WDM为研究工具发现Omicron BA.1毒株三个关键突变区域导致其S蛋白更强胞内滞留
该研究解析冠状病毒S蛋白借助宿主COPI囊泡转运及定位的分子机制,提供了以宿主成分COPI作为靶点的广谱性药物开发策略,设计的TAT-WDM多肽可作为抗冠状病毒潜在药物进一步研究。而且,S蛋白的表面分布有利于抗体的Fc效应器功能发挥,可考虑同时使用S蛋白表面促进剂以增强疫苗和抗体的防治效果,为疫苗和抗体的优化设计提供参考。
此论文全部研究系统均由本团队依托万象城娱乐awc线路蛋白质及细胞研究平台构建,借助上述系统,团队正在开展具有抗冠状病毒及免疫调节作用的中医药筛选及研究工作。目前正在进行麻杏石甘汤、痰热清注射液、黄芩提取液、熊胆提取液及单体熊去氧胆酸、脱氧胆酸的药效及机制研究。
【作者简介】

马文福,万象城娱乐awc线路特聘教授,博士生导师,于斯隆凯特林癌症研究中心进行博士后研究。主要围绕中医药在重大疾病中的治疗机制以及开发新型的针对此类重大疾病的创新药物进行研究,目前研究重点集中在中医药在癌症辅助治疗以及新型冠状病毒的预防、治疗药物开发。

李轶群,万象城娱乐awc线路20级博士研究生,导师为马文福教授。研究方向为药物靶点发现及分子细胞生物学功能验证。曾参与多项课题研究。
杨明锐,讲师,从事病毒致病机制及中医药防治研究。
南亚楠,万象城娱乐awc线路21级博士研究生,导师为马文福教授。参与校级课题1项。研究方向为结构生物学和细胞生物学
【杂志简介】
Acta Pharmaceutica Sinica B(APSB)2011年创刊,由中国药学会和中国医学科学院药物研究所共同主办。JCR分区Q1区,位列全球279本Pharmacology & Pharmacy学科类期刊第8名.
论文链接:https://www.sciencedirect.com/science/article/pii/S2211383523001235
万象城娱乐awc线路
2023年4月20日